CABINET DENTAIRE POINTE ROUGE
Chirurgiens-Dentistes à Marseille - Pratique de l'Orthodontie pour les enfants & adultes
CABINET DENTAIRE POINTE ROUGE
Chirurgiens-Dentistes à Marseille - Pratique de l'Orthodontie pour les enfants & adultes

95 boulevard des Neiges
13008 Marseille

+33 4 91 72 44 77

Blog - Page 9

La procédure de retraitement canalaire

La procédure de retraitement canalaire

Frénectomie labiale

Frénectomie labiale

Maxillaire complet et traitement implantaire pour un bridge fixe scellé

Maxillaire complet et traitement implantaire pour un bridge fixe scellé

Remplacement d'un amalgame par un inlay

Remplacement d'un amalgame par un inlay

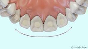
Fil de contention

Fil de contention

Conséquence de la perte des dents postérieures

Conséquence de la perte des dents postérieures

Affichage des articles 49-54 sur 74

Création par Webdentiste

Connexion